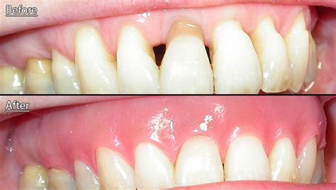
Tracy Hawthorne Blog